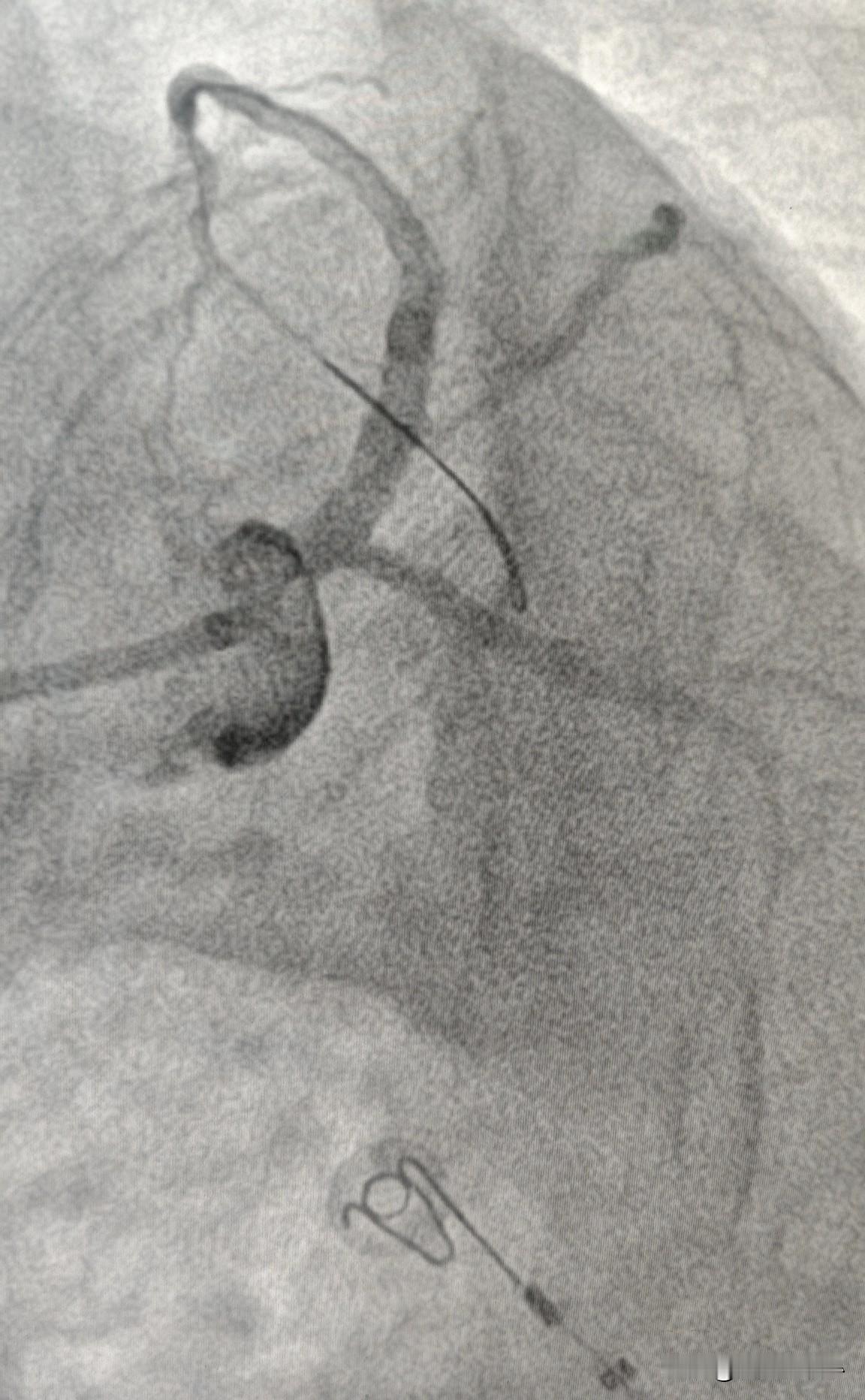
82 岁老人做冠脉支架,风险还是高一些。82 岁男性,频繁发作胸痛,做了冠状动脉造影检查发现左主干和前降支近段狭窄严重,按道理讲应该做冠脉支架治疗。但考虑到年龄大,风险高,经常看科普的朋友应该都知道,主干病变非同小可,操作过程稍有不慎,会直接休克、心脏骤停。患者也是犹豫不决,药物治疗了几个月,还是稍有活动就发作胸痛,完全没有生活质量。最后决定搏一把。 图一显示左主干和前降支近段狭窄严重。操作过程中,果然导丝在通过这段血管时,血压和心率就明显下降,出现了血流动力学不稳定的状态。一边紧急静脉推注升压药物,一边快速扩张血管,改善供血。快速把支架从前降支做到左主干后,症状终于缓解,血压也恢复到正常了,安全回到病房。 年龄大了,身体机能差一些,身体的耐受性也差一些。要是这个患者只有 60 多岁,就不会出现血压和心率骤降的情况。

