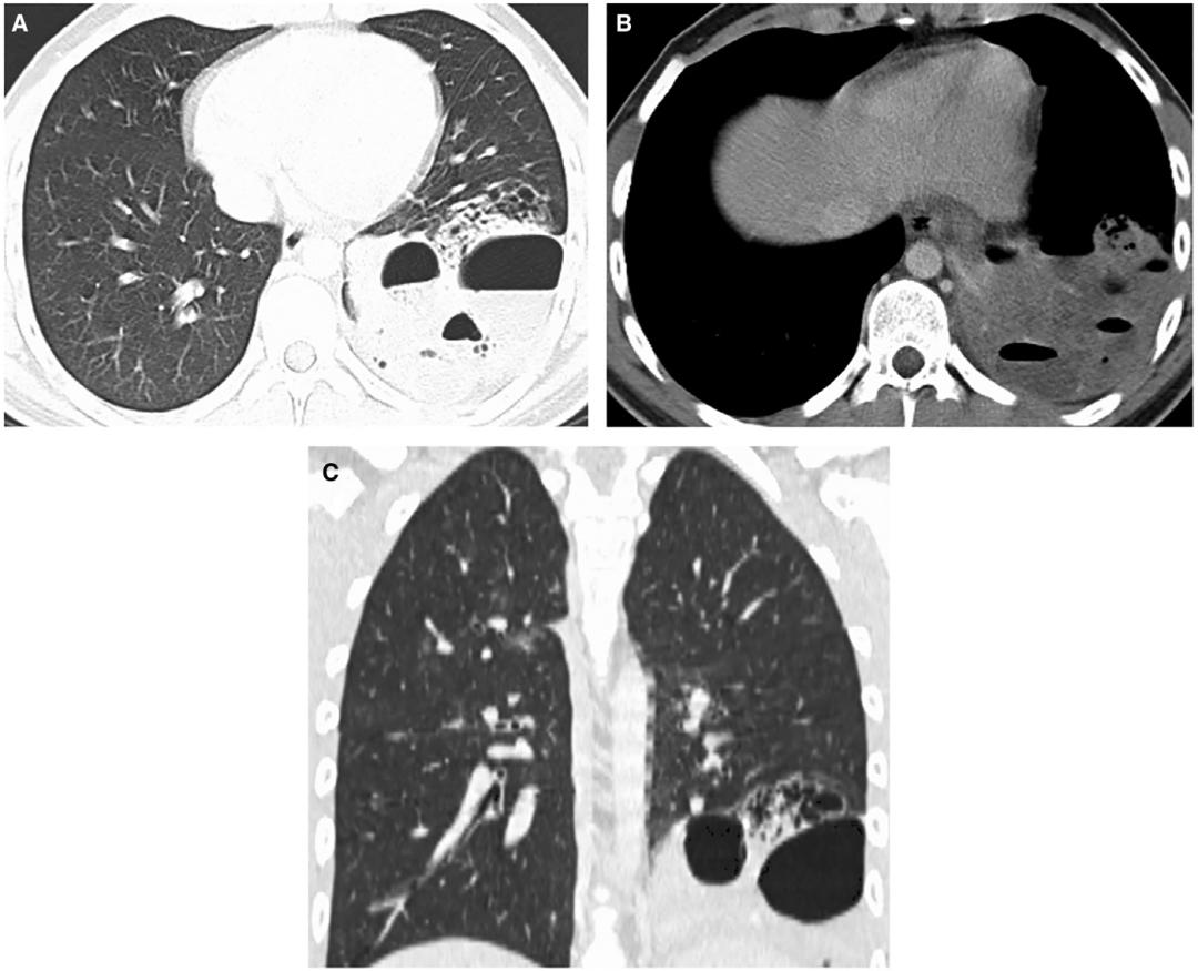
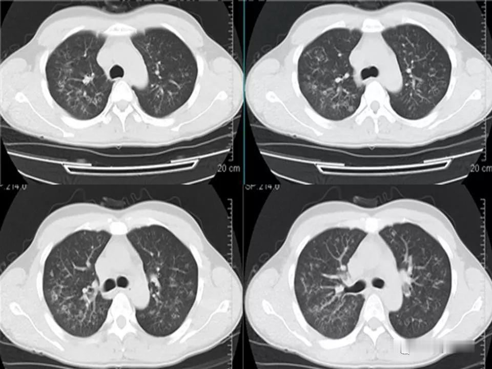
20岁男生挤痘后肺烂10个洞!ICU惊魂12天,这个危险区千万别碰 年轻人谁没跟痘痘“斗智斗勇”过?脸上冒出红肿痘痘,随手一挤、图个痛快,几乎是很多人的本能操作。但最近冲上热搜的一则新闻,让无数网友吓出冷汗:“20岁男生挤痘挤进ICU”的话题刷屏全网,这个大二学生只因挤了颗普通痘痘,竟引发致命败血症,肺部被细菌“啃”出10多个空洞! 事件中的小林(化名)备考期间熬夜爆痘,没洗手就对着镜子挤压了那颗黄豆大的红肿痘痘,当时看着脓水流出还觉得清爽。可短短几天,他就开始持续发烧咳嗽,退烧药根本不管用,右下胸更是疼得像针扎,深呼吸时直冒冷汗。等烧到39℃就医时,CT检查显示他的肺组织已部分坏死,布满十几个空洞,确诊为血源性肺脓肿。 细菌培养揭开真相:罪魁祸首是皮肤表面常见的金黄色葡萄球菌。医生解释,小林挤的痘痘正处于脸部“危险三角区”——鼻根到两侧口角的三角形区域,这里的血管没有静脉瓣,如同缺少阀门的管道。挤压的压力会把痘痘里的细菌强行推入血管,顺着血液循环扩散全身,不仅会引发败血症,还会侵蚀肺部等器官,导致组织坏死形成空洞[__LINK_ICON]。 万幸的是,小林年轻体质好、对药物敏感,经过12天抗生素治疗才转危为安。但网友们看完纷纷后怕:“原来我以前挤痘都是在赌命”“难怪医生反复强调不能乱挤,真是命大”。 千万别把挤痘当小事!脸部“危险三角区”的痘痘挤压风险极高,细菌可能上行引发脑膜炎,下行损伤心肺,严重时会导致脓毒症休克。医生提醒,痘痘无需强行干预,皮肤自有修复力,频繁触摸或挤压只会破坏屏障。若出现痘痘红肿加剧、伴随发热胸痛,一定要立即就医。



