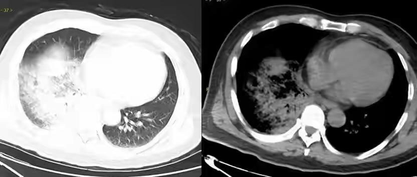
司机在口袋里养鹦鹉半月,开车间隙逗玩,没想到身体出事了!医生提醒:潜伏期最长45天。 你以为养只宠物是温馨的小趣味,却没想到背后隐藏的竟是一场生命的隐形危机。这个故事发生在普通的城市角落,一位普通的司机,用半个月的时间,用心呵护着他口袋里的“宝贝”——一只可爱的鹦鹉。每天开车、休息间隙,他都喜欢逗逗这只鸟,仿佛在寻找一种简单而纯粹的陪伴。然而,谁曾想,这份看似无害的“宠物养成记”,竟成为他身体突然亮起的警报。 事情的转折点,发生在一个平凡的日子里。司机突然出现了身体不适,起初只是轻微的乏力和头晕,但没想到,短短几天后,病情急剧恶化,送医检查后才发现——他感染了“鹦鹉热”。这是一种由鹦鹉传染给人的疾病,潜伏期最长可达45天!也就是说,那个陪伴他半个月的“宠物”,可能就是病毒的“源头”。 这件事让人心头一震:我们平时习以为常的宠物养护,竟然隐藏着如此巨大的风险。我们都知道,宠物能带来快乐,能缓解压力,但你是否曾想过,某些看似无害的行为,可能在不经意间成为健康的“隐形杀手”?尤其是在这个“养宠热”不断升温的时代,很多人都在追求那份陪伴的温暖,却忽略了背后潜藏的危险。 更令人担忧的是,医生提醒:鹦鹉热的潜伏期最长可以达到45天!这意味着,你可能在无意中成为病毒的“传播者”,而自己还浑然不觉。你会不会开始反思:我们是否太过放松了对宠物健康的关注?是否忽略了那些潜在的“看不见的危险”?我们在享受宠物带来的快乐时,是否也要多一份责任和警惕? 这个故事,不只是一个普通的养宠事故,更是一次对“宠物与人类关系”的深刻反思。它提醒我们:爱宠物,不能只看表面温馨,更要关注它们的健康与安全。毕竟,生命没有小事,每一个细节都可能关系到我们的健康。让我们在追求陪伴的同时,也学会更科学、更理智地养宠,守护自己和家人的健康安全。 你是否也曾因为宠物的可爱而忽略了潜在的风险?你是否也在享受养宠的同时,忽略了那些看不见的“危险信号”?留言告诉我你的想法,也许,我们都需要一份“宠物安全指南”,让爱变得更美好、更安心。鹦鹉


