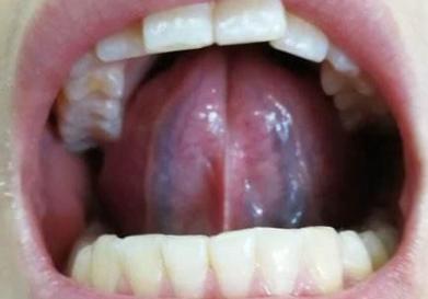
调理这种血瘀舌最有效的方法是温阳化气,不然血府逐瘀丸吃多少年都没用! 患者舌底,黑黑粗粗两条血管,典型的血瘀舌,平时身上头痛,失眠,淤青难消,腿部干燥起皮,血府逐瘀没什么效果。改用温阳方,着重温阳化气,散寒祛瘀,患者的情况得到了明显的改善。 其实问题的重点就在患者的舌面: 舌面除了有紫色的瘀滞点外,舌面舌苔白白腻腻,舌中凹陷,这是典型的阳气不足,不能化气。患者同时兼具怕冷手脚凉,少气懒言,肚子胀不消化等问题。 黄帝内经上讲,气为血之帅,气不足,推不动血,血根本就流动不起来,时间一长特别容易形成瘀阻,堵在脉络里边。 这种时候,如果只盯着淤血去清理,源头的阳气没补上来,效果可想而知。 根据患者舌象以及脉象综合开方:制附子,干姜,桂枝,当归,川芎,赤芍,黄芪,党参,炙甘草 核心原则:温阳散寒 + 活血化瘀,兼顾补气行血 温阳核心:制附子 (先煎减毒)、干姜、桂枝(温通阳气,散寒凝); 活血核心:当归 、川芎、赤芍 (活血通络,兼顾养血,避免活血伤正); 补气佐使:黄芪 、党参 (补气以推动血行,助阳气布散); 调和:炙甘草(调和诸药,缓附子之峻)。 如果相近问题,可以伸舌辨证。 以上为医学参考,具体问题需结合自身情况,辨证就医。

