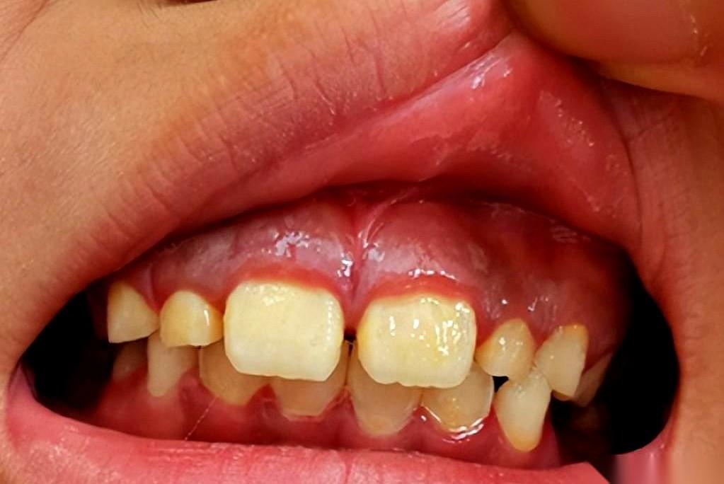
你那肩膀疼,真不一定是肩周炎。 你那胸口闷,也别老赖心脏。 尤其,当你手里还夹着根烟的时候。 身体这东西,老实得很。它给你报警,从来不是哐哐砸门,都是先试探着敲一敲。 就是那种说不上来的隐隐作痛,一阵一阵的,不耽误你上班,也不影响你吃饭。你揉揉肩膀,捶捶胸口,心想:嗨,老毛病了,或者,最近累着了。 你觉得这事儿不“典型”,不像书上写的那么吓人,于是就过去了。 还有你的嘴。 刷牙出血,牙龈红肿,你琢磨着是不是牙膏该换了,或者“上火”了。你根本没把这事儿跟你天天吞云吐雾的那双肺联系起来。 说白了,这就是慢性中毒的信号。你的血液循环在变差,免疫系统在拉胯,身体的“维修队”已经忙不过来了。从口腔这个源头开始,整个系统都在给你亮红灯。 很多人不是怕花钱检查,是怕听到那个自己早就猜到的结果。宁愿揣着个定时炸弹,用“我没事”这块黑布把它蒙上。 最扯淡的借口就是:“都抽了几十年了,戒不戒还有啥用?” 你家着火了,你会说“都烧了这么久了,别救了”吗?只要你肯把水泼上去,火势就能小一分。只要你肯把烟掐了,你的身体就能喘口气。 别再用“我觉得”去赌命了。 那些被你忽略的小痛小红,可能就是身体在用最后一点力气,跟你说:“哥们儿,救救我。”


