肺鳞癌,手术切完9年了,人活得好好的。 最绝的是,这大爷手术后烟都没戒。 真的,

牧骸 2026-02-01 07:00:18

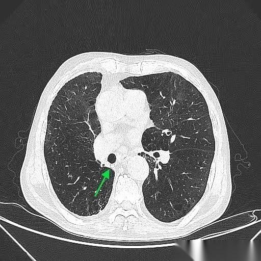
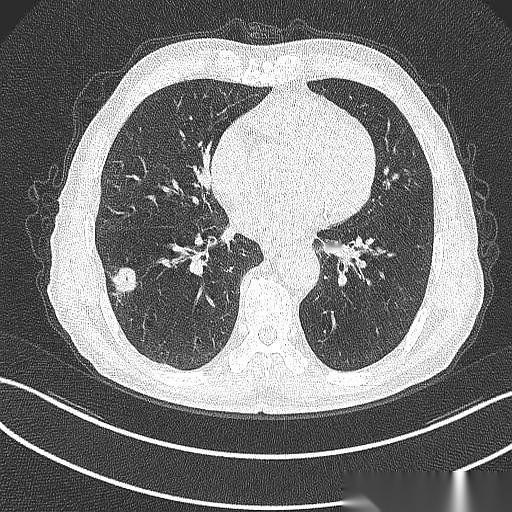
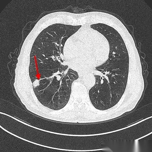
肺鳞癌,手术切完9年了,人活得好好的。 最绝的是,这大爷手术后烟都没戒。 真的,就是少抽了点。 说起来也邪门,当初救了他一命的,竟然就是他那要命的咳嗽和胸闷。要不是这俩症状把他折腾得受不了,跑去医院拍了个片子,那个藏在肺里2.4厘米的坏东西,还不知道要逍遥到什么时候。 一个抽了40年烟的71岁老爷子,你想想那犟劲儿。 手术很成功,切下来一看,万幸,早期,淋巴也没事。按理说,这都鬼门关前走一遭了,总该惜命了吧? 人家偏不。 就这么吊儿郎当地,九年过去了。 每年复查,啥事没有,肿瘤连个鬼影都见不着。有时候你真的会怀疑,老天爷是不是也有自己的KPI,专门考核戏剧性。 但命运这东西,总爱在结尾给你来个回马枪。 癌是没了,肺气肿倒是越来越厉害了。CT片子上,那肺啊,被烟熏得千疮百孔的。 老爷子今年终于又提了,说,准备戒烟。 也不知道这次是不是真的。 你说这人啊,有时候命硬得像块石头,有时候又犟得让人哭笑不得。 躲得过阎王爷,却好像总躲不过自己亲手点燃的那根烟。

0 阅读:59
牧骸

牧骸

感谢大家的关注